Pagi tadi sekitar jam 11 am saya menerima satu kes yang dirujuk dari unit kecemasan .
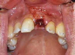
Seorang gadis India berusia 18 tahun telah mengalami kecederaan trauma di bahagian gigi pada tengah malam tadi hingga menyebabkan sebatang gigi kacipnya terkeluar dari soket. Lebih merumitkan keadaan apabila pesakit ini baharu sahaja memulakan rawatan orthodontik (braces) di klinik pakar. Ini bermakna semasa pesakit ini menemui saya, dia masih memakai pendakap (braces) di dalam mulutnya dan membawa gigi yang terkeluar tersebut yang dibungkus dengan sehelai TISU
PERSOALANNYA...
*** BOLEHKAH GIGI ITU DIBALUT DENGAN TISU?*** BOLEHKAH GIGI TERSEBUT DISELAMATKAN DAN DIMASUKKAN SEMULA KE DALAM SOKET GIGI?
*** APAKAH PROGNOSIS ATAU KESAN JANGKA PANJANG SEKIRANYA GIGI TELAH DIMASUKKAN SEMULA KE DALAM SOKET ?
Sebelum saya ulas lebih panjang lagi, adalah lebih elok sekiranya anda faham terlebih dahulu apakah maksud keadaan ini.
AVULSED TEETH (gigi teravulsi) adalah suatu keadaan di mana gigi terkeluar sepenuhnya dari soket yang memegang gigi tersebut yang disebabkan oleh trauma.(eg: kecederaan sukan, bergaduh, jatuh, kemalangan, dll)
8 PERKARA PENTING YANG PERLU DILAKUKAN APABILA GIGI TERKELUAR DARI SOKET
-Langkah ini amat penting dilakukan kerana ia menjadi penentu kejayaan proses kesembuhan rawatan.
1. Cari gigi tersebut
2. Pegang gigi pada bahagian KORONA gigi (gigi ada 2 bahagian, korona dan akar), Dalam bahasa mudah, pegang bahagian kepala gigi sahaja. Elakkan dari menyentuh bahagian akar gigi.
3. Sekiranya terdapat kekotoran padanya, lalukan gigi tersebut di bawah pili air. JANGAN sesekali sental atau berus gigi tersebut terutamanya bahagian akar bagi mengelakkan tisu ligamennya rosak.
4. Masukkan semula gigi ke dalam soket yang kosong tadi sekiranya boleh, dan gigit dengan kapas atau tuala kecil bagi menstabilkannya.
5. Segera ke klinik gigi bagi rawatan lanjut
6. Sekiranya gigi sukar dimasukkan semula ke dalam soket, memadailah sekiranya gigi itu diletakkan di dalam mulut di bahagian tepi pipi.
7. Sekiranya masih TIDAK BOLEH, takut tertelan dan sebagainya. Gigi hendaklah segera diletakkan dalam medium yang sesuai seperti bekas tertutup yang berisi SUSU SEGAR/ AIR LIUR/ CONTACT LENSE SOLUTION/ AVULSED TEETH SOLUTION (SAVE-A-TOOTH)/ AIR KELAPA/ NORMAL SALINE
-avulsed solution boleh didapati di farmasi namun tidak semua farmasi ada menjual produk ini
-ELAKKAN daripada merendam gigi dalam air paip biasa kerana ia boleh membuatkan sel ligamen gigi mati

8. Seterusnya barulah dibawa ke klinik.
JADI... apakah faktor kritikal yang membantu proses kesembuhan rawatan gigi teravulsi ini?
1. MASA - lebih cepat lebih baik
>>> Dalam kes remaja india tadi beliau datang ke klinik untuk rawatan setelah hampir 12 jam berlalu.Ini menyebabkan prognosis rawatannya agak tipis. Semakin lama masa berlalu semakin banyak tisu dan sel2 ligamen pada gigi mati.
>>>Sebaiknya pesakit pergi ke klinik secepat mungkin bagi mendapatkan rawatan.
2. MEDIUM SIMPANAN
>>> Juga dalam kes di atas, pesakit cuma membungkus giginya di dalam sehelai tisu. KUNCI UTAMA mengapa gigi perlu disimpan dalam medium yang disarankan adalah supaya sel-sel tisu yang terdapat di sekeliling gigi tidak rosak. Jika gigi disimpan dalam keadaan kering akan menyebabkan sel2 ligamennya mati.
Di
klinik gigi nanti doktor gigi akan melakukan beberapa rawatan diikuti
rawatan susulan bagi memastikan gigi yang dimasukkan ke dalam soket itu
sembuh. Prosedur dan proses rawatan di klinik akan saya terangkan dalam
entri yang berikutnya...
Semoga bermanfaat.
HIDUP LUAR BIASA
salam sayang
-drwan-
No comments:
Post a Comment